Shaping MRI Future
A Global Crisis in Brain Monitoring
According to World Health Organization, in 2021, 57 million people had dementia worldwide. Every year, there are nearly 10 million new cases.
A New Paradigm In Brain MRI
by Tesoro Imaging
Tesoro’s Technology is fully developed and validated, with a functional MRI hardware: This MRI device is capable of producing High Resolution Images at unmatched speed.
- 100% Portable Design. With elliptical bore for brain imaging
- Plug and Play Operation Peak power dissipation of only 25W, enabling standard power connectivity
- High-Resolution Imaging
- Revolutionary Low-Field Technology Operates at just 87 mT, delivering diagnostically valuable images through advanced spatial coding algorithms.
- Unmatched image acquisition speed
- Low-Cost 70% cheaper than conventional MRI
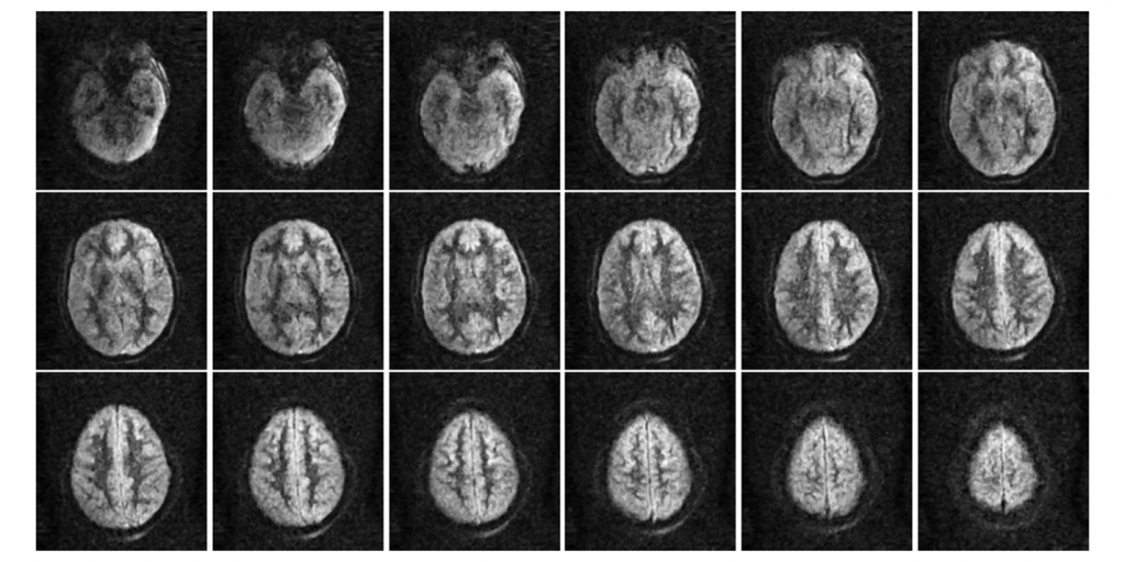
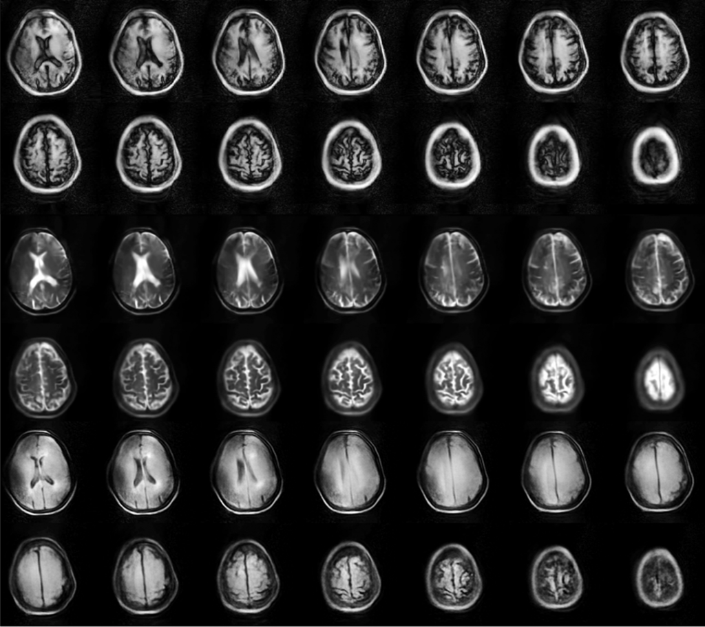
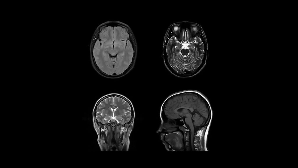
Brain Images
Areas of Application

Healthcare and Continous Monitoring
Ideal for neurodegenerative and cardiovascular disease follow-up. Enables routine imaging without radiation exposure. Suitable for outpatient clinics, ambulatory centers and primary care. Early-preliminary diagnosis, chronic care tracking.

Global Health and Mobile Medical Deployment
Easy and scalable deployment without special installations. Facilitates access to advanced imaging in developing countries across Latin America, Africa and Southeast Asia. Fits in ambulances, rural areas, refugee camps and low-infrastructure regions. Power-flexible working with generators or engines.

Non Clinical Environment
Defense: Military field hospitals, emergency missions, combat zones. Education: Universities, medical courses Events: Sports, concerts and mass public events. Others: Cruise ships, remote industrial sites.
Partners
Funding